Paciente de 12 años con dolor abdominal. Remitida para estudio de masa intraabdominal.
martes, 22 de agosto de 2017
jueves, 17 de agosto de 2017
miércoles, 19 de julio de 2017
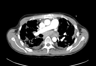
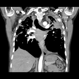
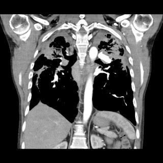
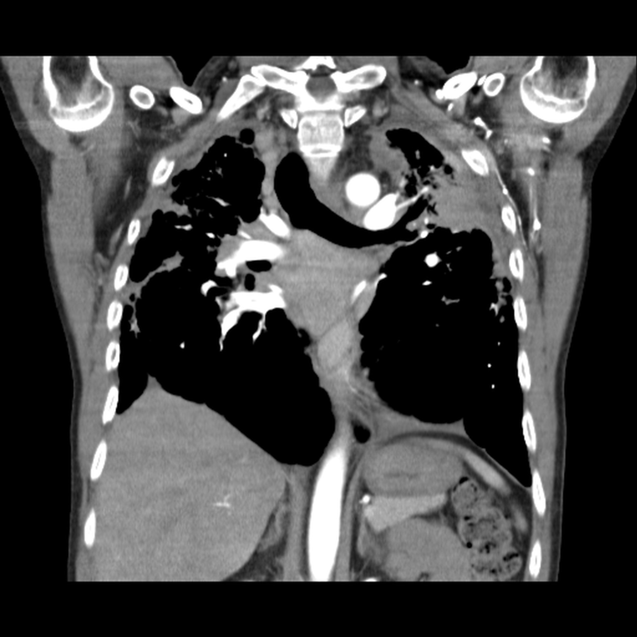
Hombre de 61 años asintomático. Colonoscopia demuestra válvula ileocecal ulcerada y estenótica. No hay antecedente de Enfermedad Inflamatoria Intestinal.
Con base en lo anterior el siguiente paso a seguir es?
a) Valoración por cirugía general.
b) Iniciar tratamiento con anti-inflamatorios e inmunosupresores.
c) Biopsia bajo guía ecográfica de las lesiones focales hepáticas.
d) Repetir colonoscopia.
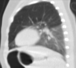
viernes, 14 de julio de 2017
viernes, 7 de julio de 2017
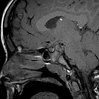
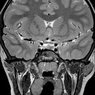
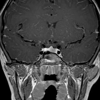
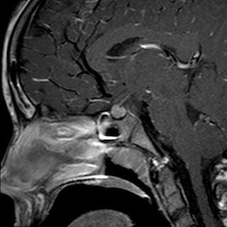
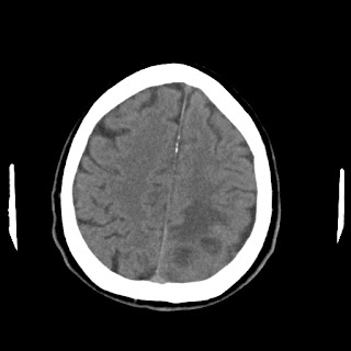
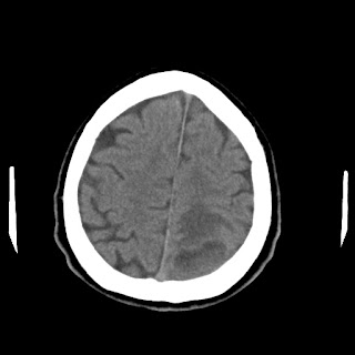
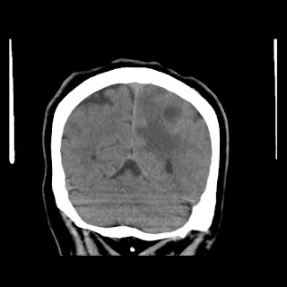
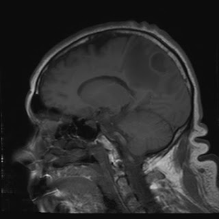
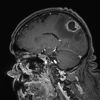
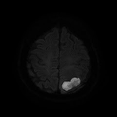
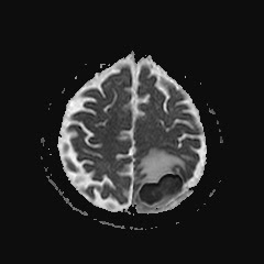
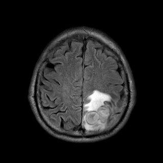
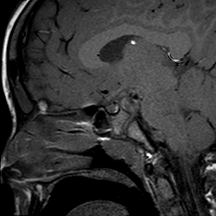
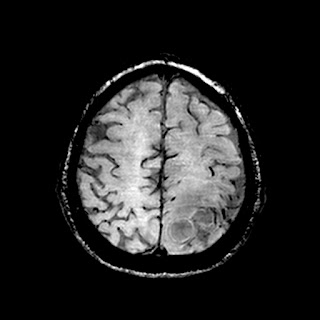
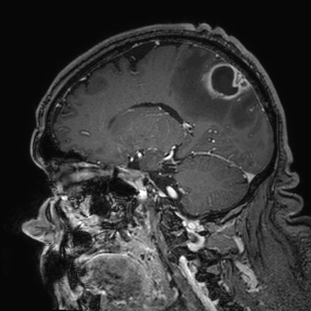
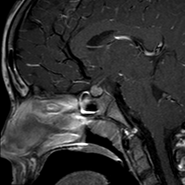
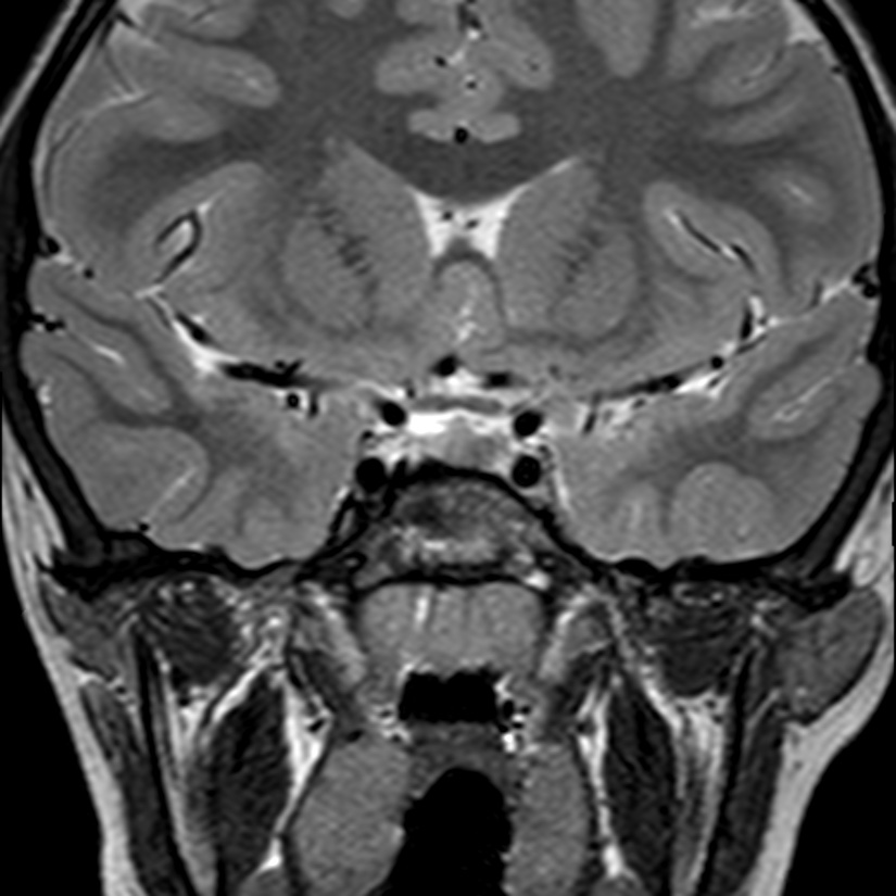
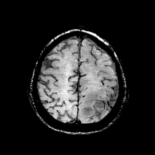
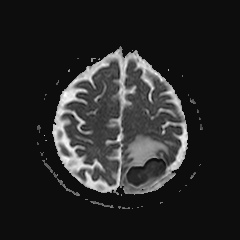
Caso neurorradiología
Paciente de 60 años con cuadro de 1 semana de evolución consistente en tropiezos frecuentes y alteración en la movilidad del miembro
inferior derecho. No refiere
cefalea u otros síntomas asociados, no pérdida de peso, no náuseas o emesis, no
sudoración nocturna. Antecedentes de hipertensión arterial y diabetes.
Resonancia magnética
Escanografía
Resonancia magnética
Suscribirse a:
Comentarios (Atom)


































