CASOS INTERESANTES
domingo, 7 de octubre de 2018
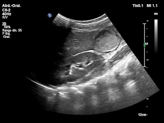
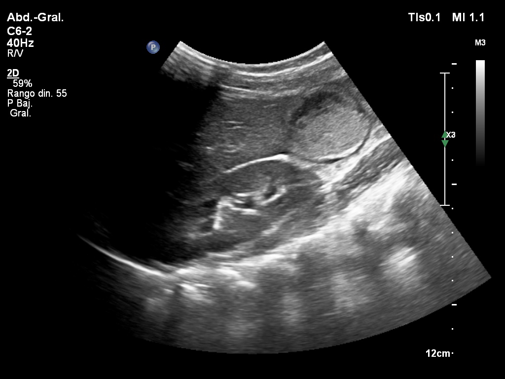
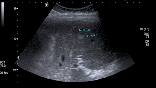
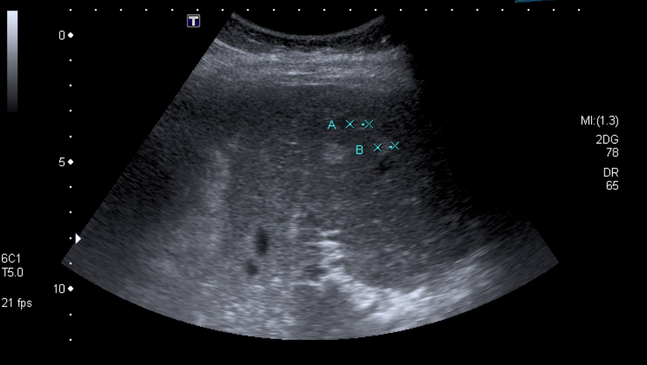
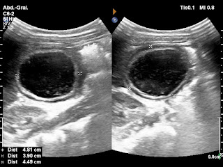
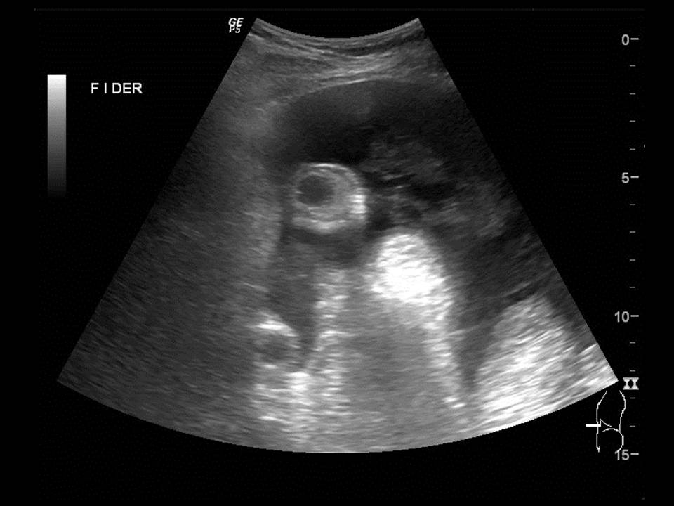
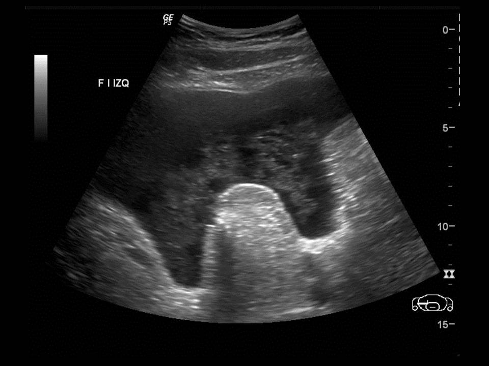
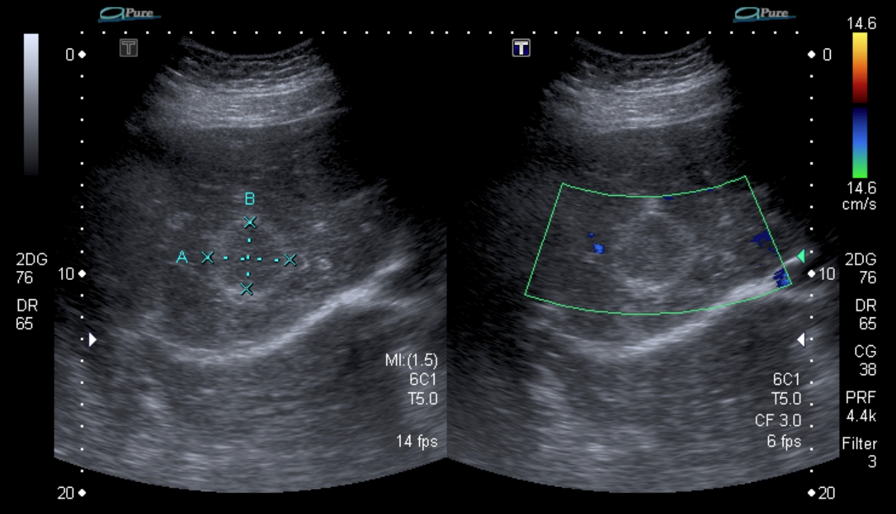
Caso pediatría
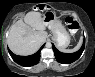
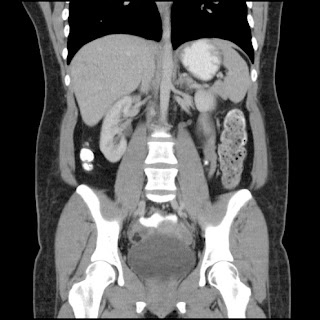
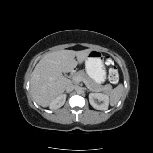
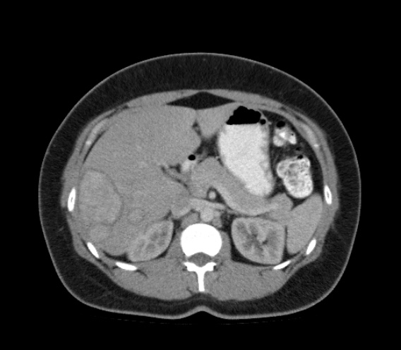
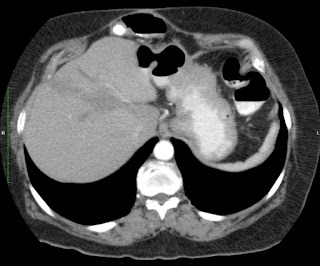
lunes, 1 de octubre de 2018
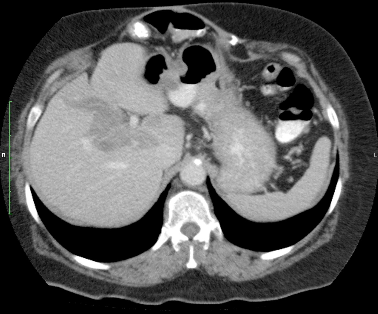
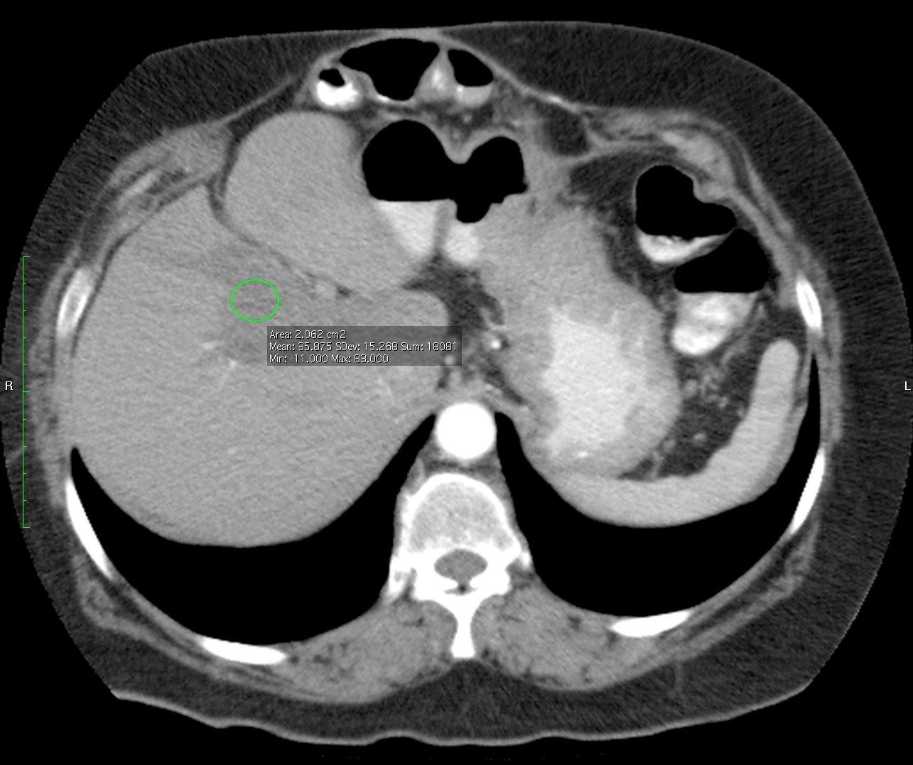
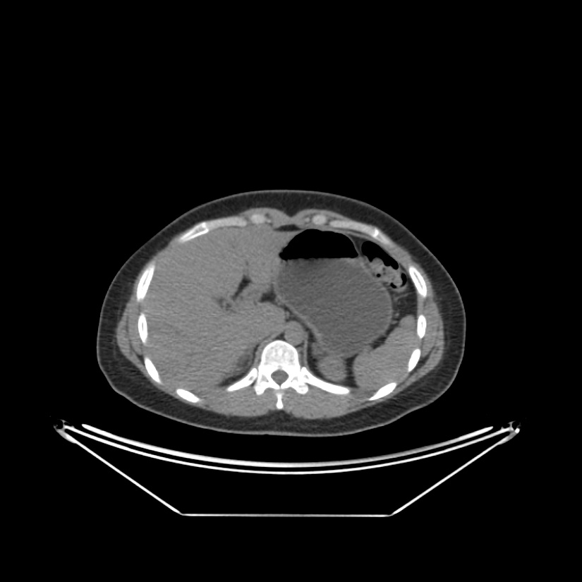
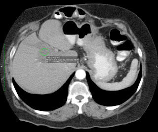
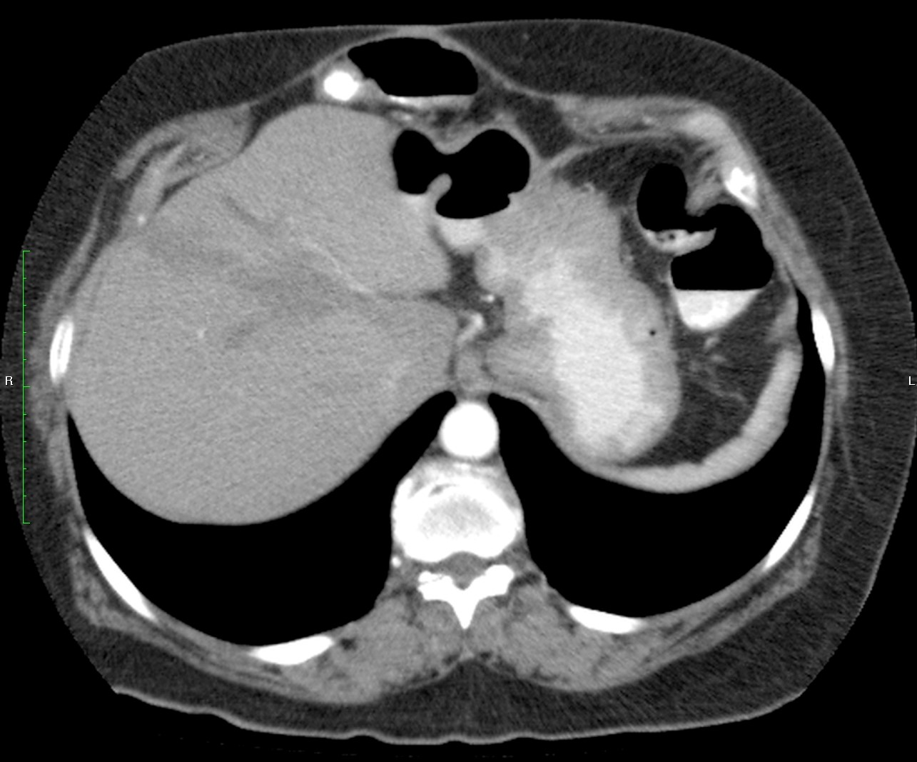
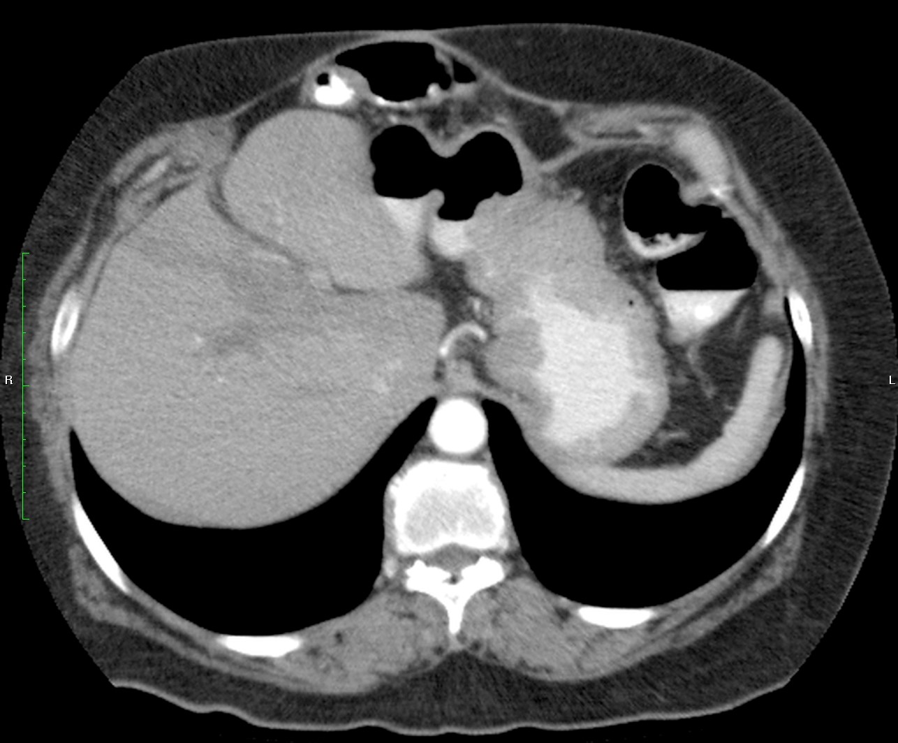
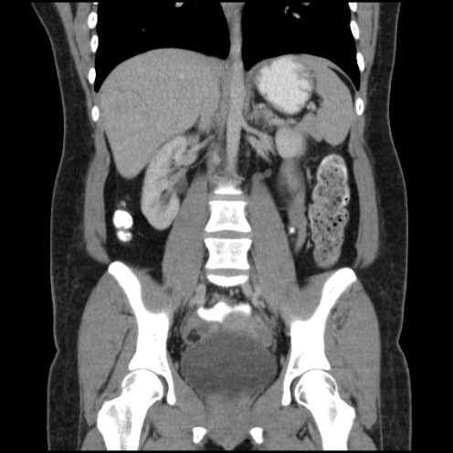
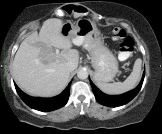
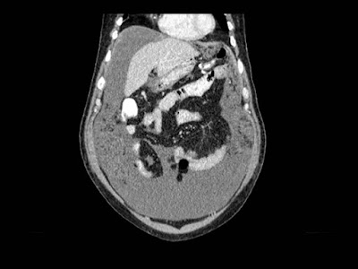
Paciente de 66 años con antecedente de pancreatitis, tomografía control.
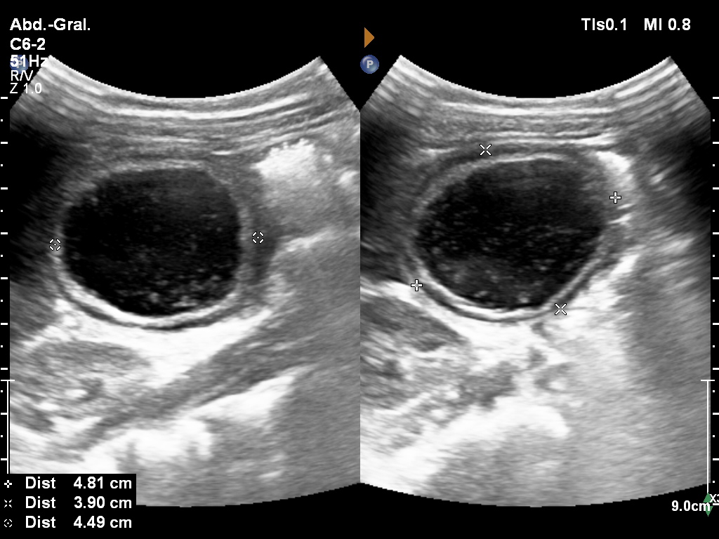
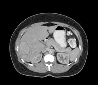
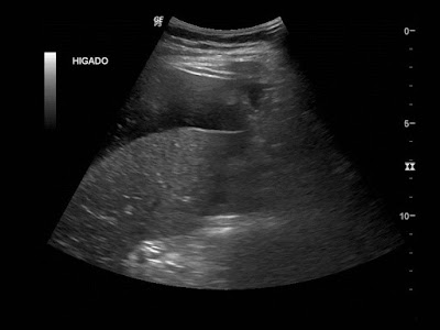
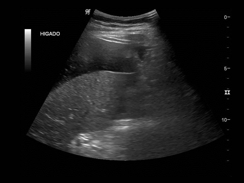
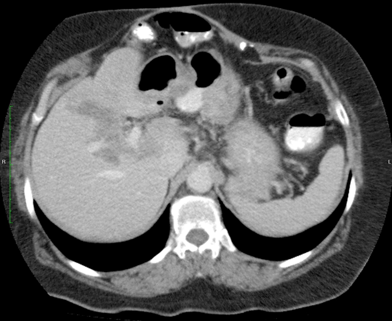
lunes, 24 de septiembre de 2018
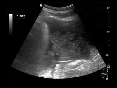
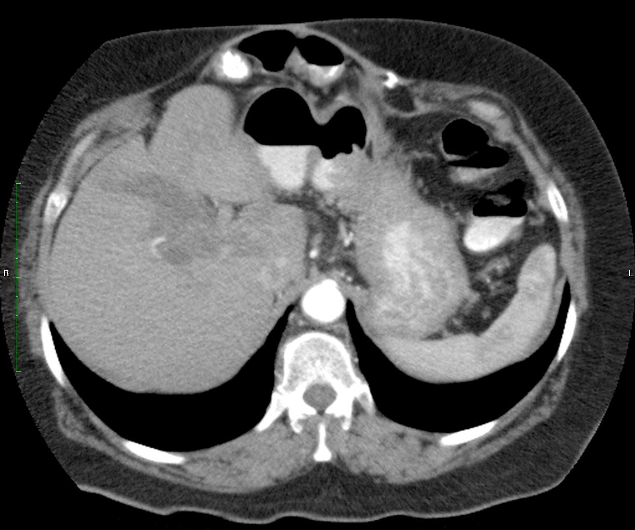
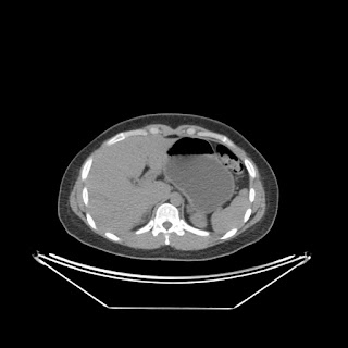
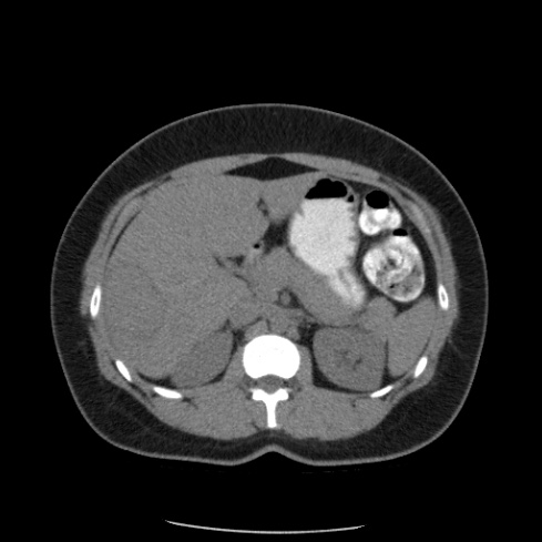
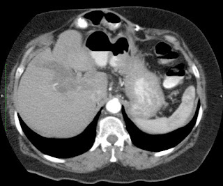
Mujer de 57 años.
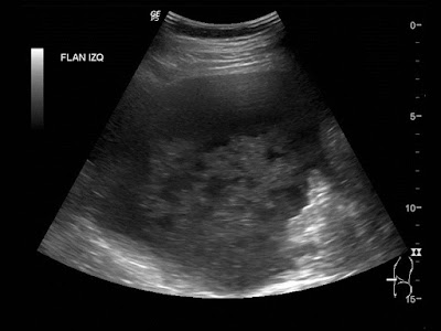
lunes, 17 de septiembre de 2018
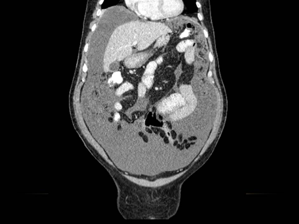
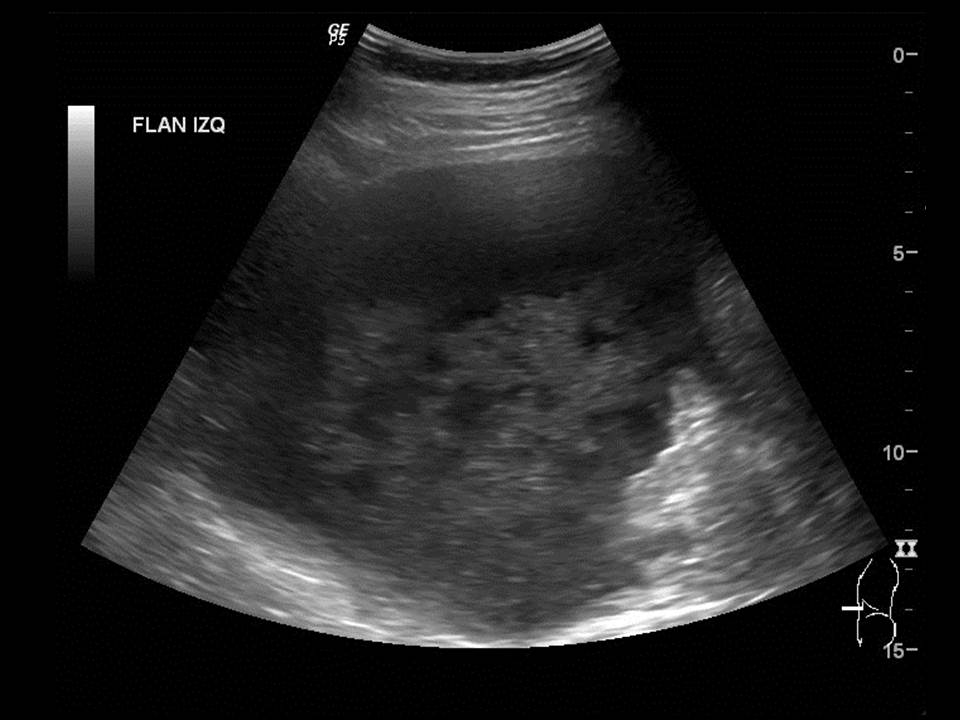
Cuadro clínico de 1 mes de evolución caracterizado por distensión abdominal e hiporexia.
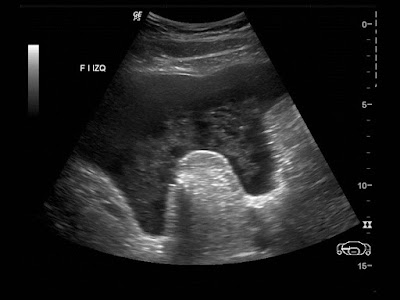
jueves, 6 de septiembre de 2018
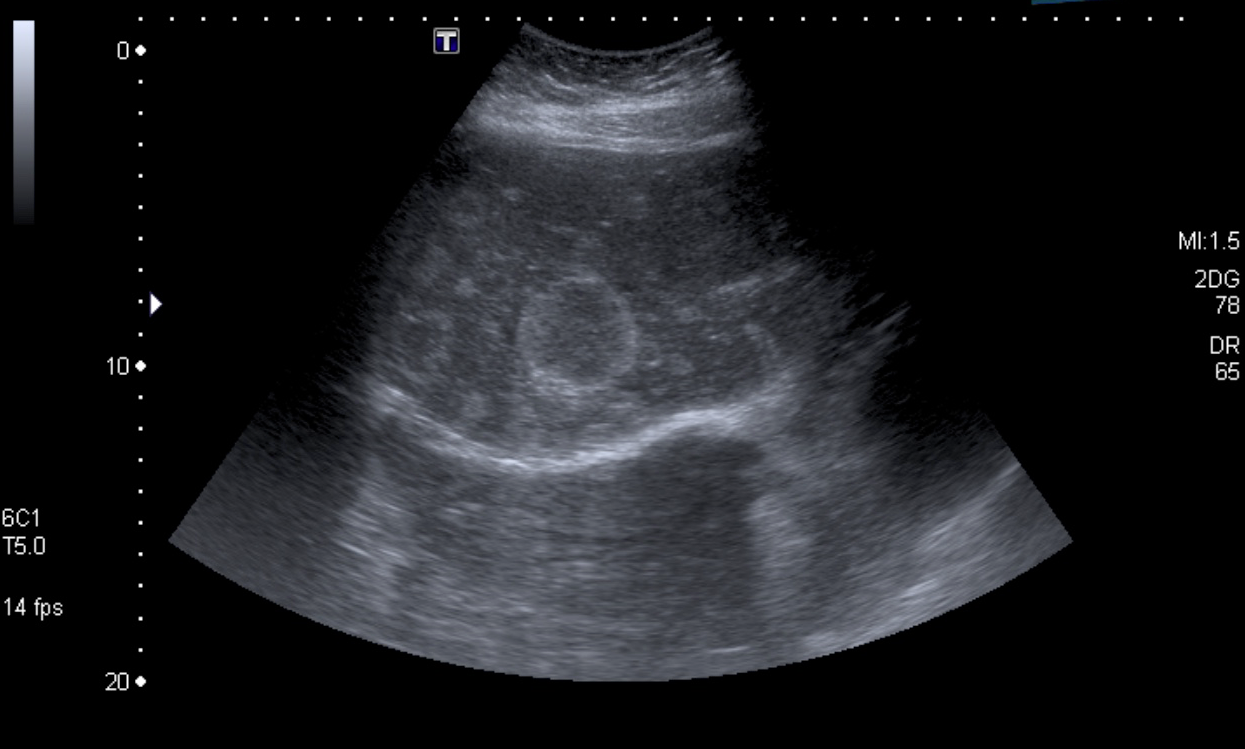
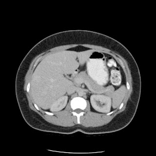
Dolor en hipocondrio derecho
Femenina de 31 años
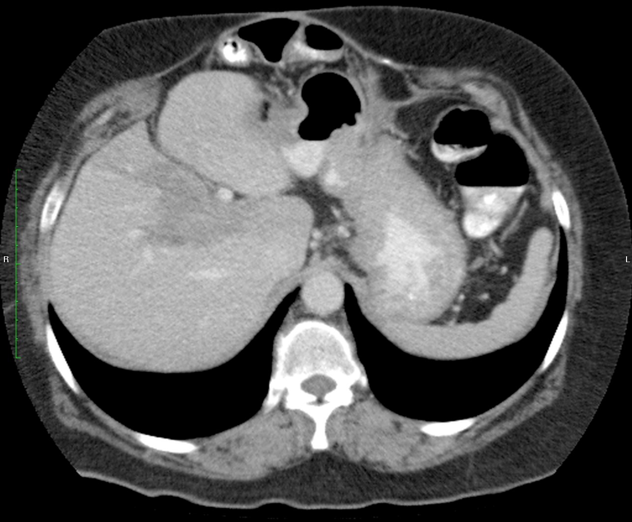
miércoles, 29 de agosto de 2018
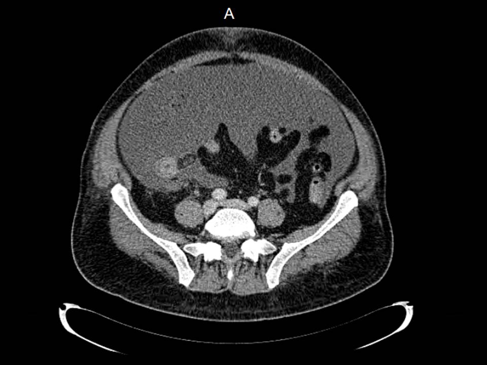
Paciente de 72 años con antecedente de tuberculosis genitourinaria hace 40 años.
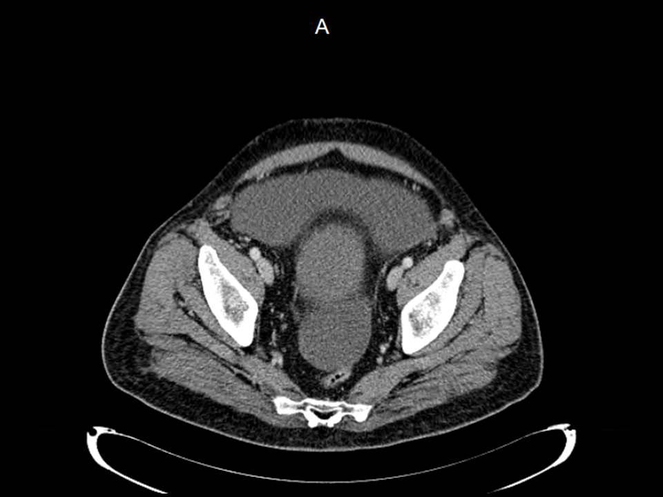
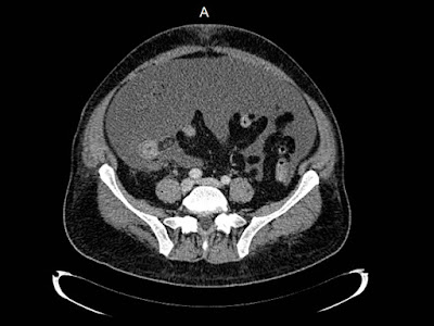
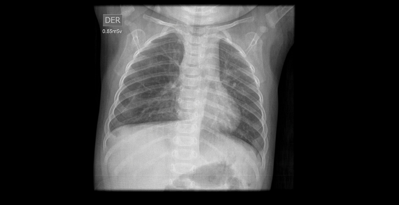
martes, 22 de agosto de 2017
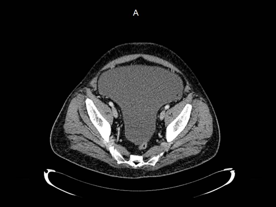
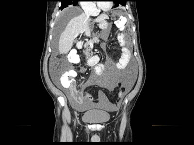
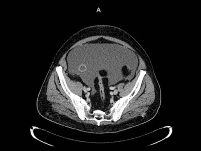
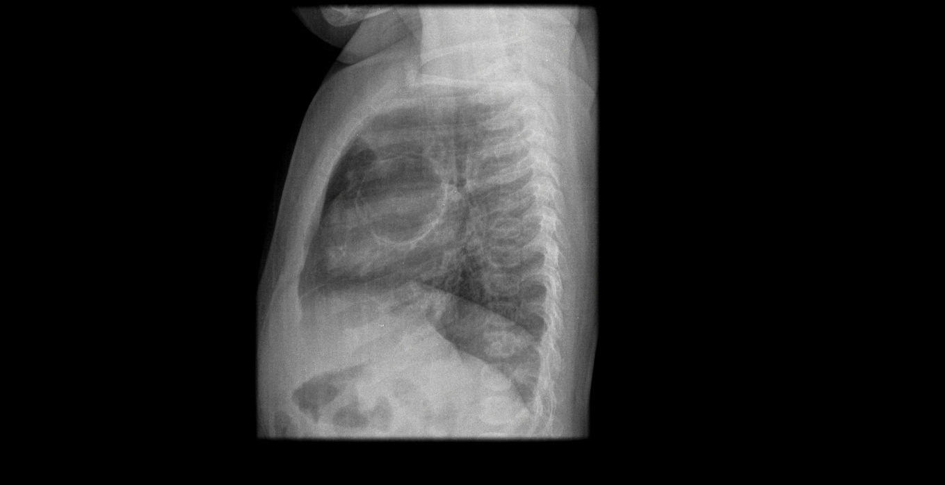
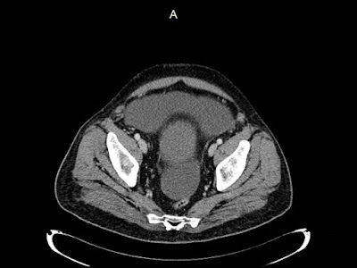
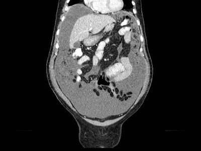
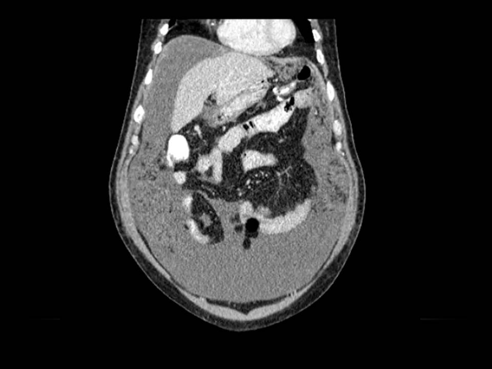
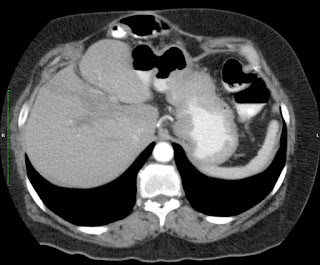
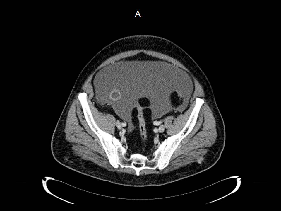
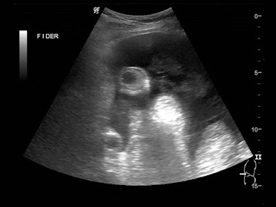
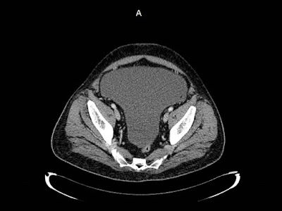
Paciente de 12 años con dolor abdominal. Remitida para estudio de masa intraabdominal.
Entradas antiguas
Página Principal
Suscribirse a:
Comentarios (Atom)