jueves, 6 de noviembre de 2014

Caso Interesante #1


INGRESO

Paciente con antecedente de ALIF (Fusión lumbar intersomática anterior) 360 grados L5-S1 hace siete meses, quién presenta herida de abordaje anterior con dehiscencia de sutura, con cierre por segunda intención, quien consulta por cuadro clínico de dos días de secreción purulenta en herida quirúrgica, niega fiebre, niega otras sintomatología, refiere episodios previos similares.







EVOLUCIÓN

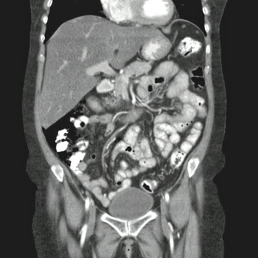
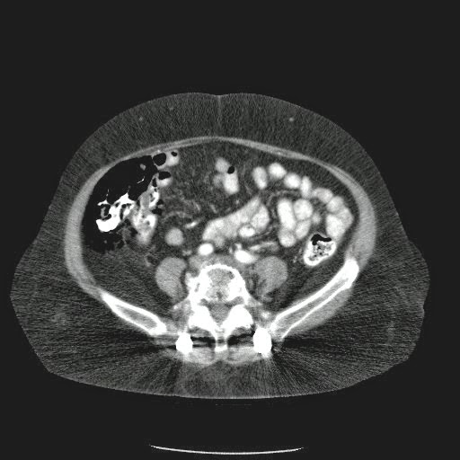
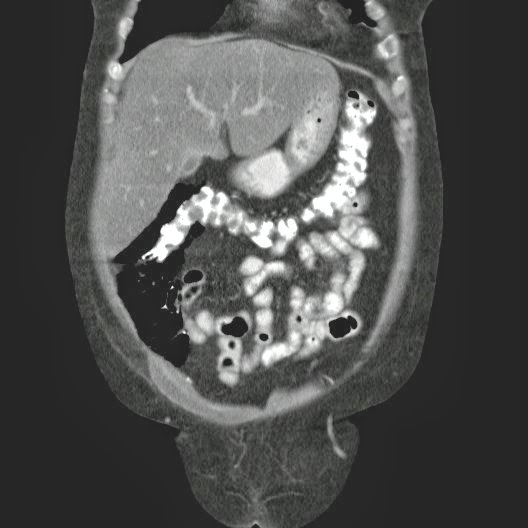
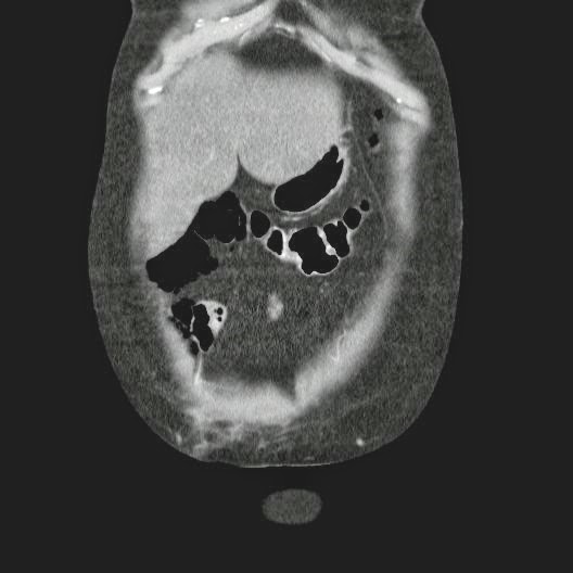
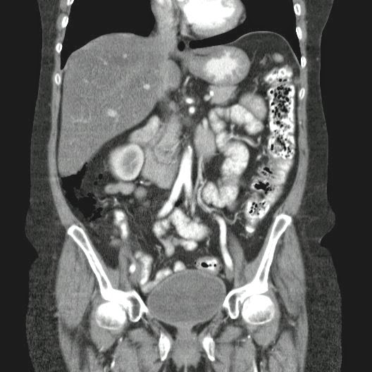
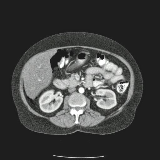
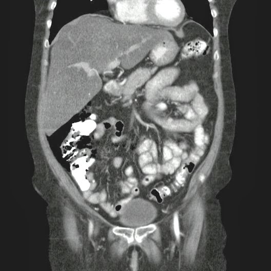
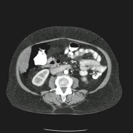
Paciente en POP de ALIF L5-S1 quien presento dehiscencia de la herida abdominal con ISO superficial ya tratada, sin embargo persiste con dehiscencia y desde ayer con supuración asociado a fiebre subjetiva. Se realiza eco abdominal con colección en pared sugestiva de absceso, elevación de RFA por lo cual se considera se debe hospitalizar para manejo antibiótico, drenaje de la colección, manejo médico y vigilancia neurológica.

























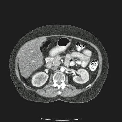
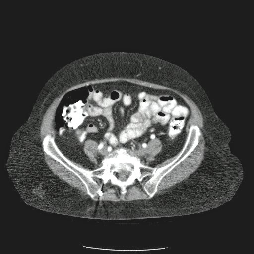
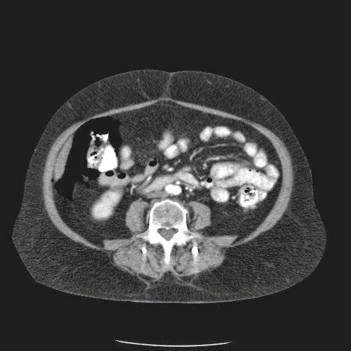
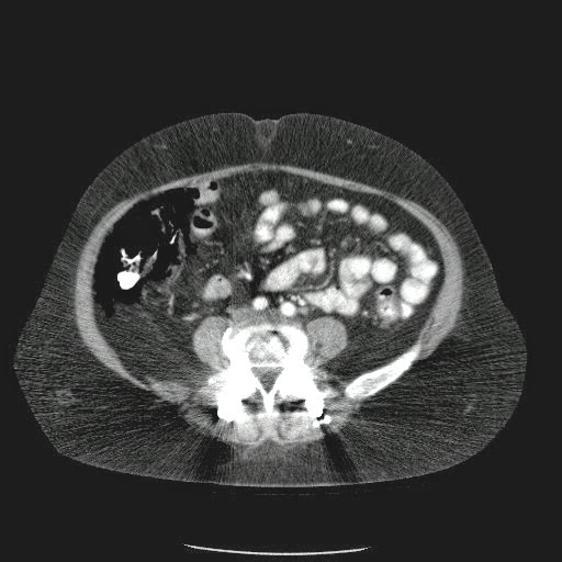
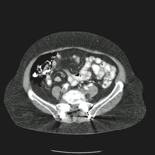
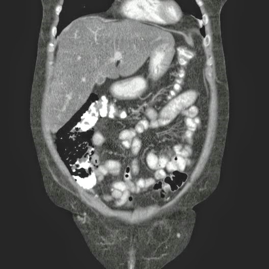
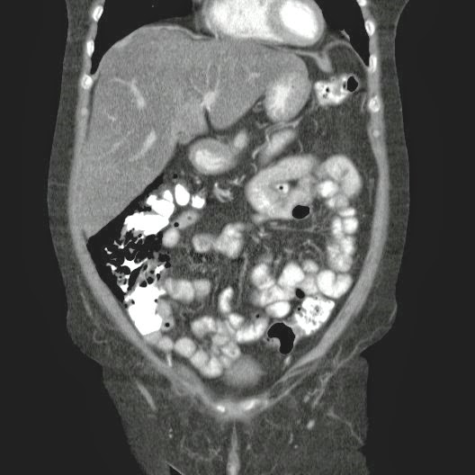
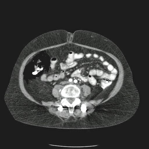
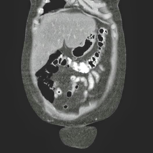
- ¿Hallazgos Escanografia? 

4 comentarios:

  1. Se van a mejorar el contraste de estas imagenes

    ResponderBorrar
  2. Hay una colección de la pared abdominal en el flanco derecho, que realza en la periferia con el contraste, e intraabdominal tiene aire pero no me parece colección intraabdominal porque la grasa no está alterada.

    ResponderBorrar
  3. Recomendado: Drs. JOSÉ M. ZUÑIGA A.1, FRANCO ORELLANA G.1, MARCELO CASTRO S.3, ROLANDO SEPÚLVEDA D.4, HORACIO RÍOS R.4, Int. VELIA SALDÍAS H.2. Neumatosis Intestinal: Caso Clínico-Radiológico. Pneumatosis intestinalis. A case report. Rev Chil Cir v.61 n.1 Santiago feb. 2009



    ResponderBorrar