lunes, 22 de diciembre de 2014

miércoles, 17 de diciembre de 2014

domingo, 30 de noviembre de 2014

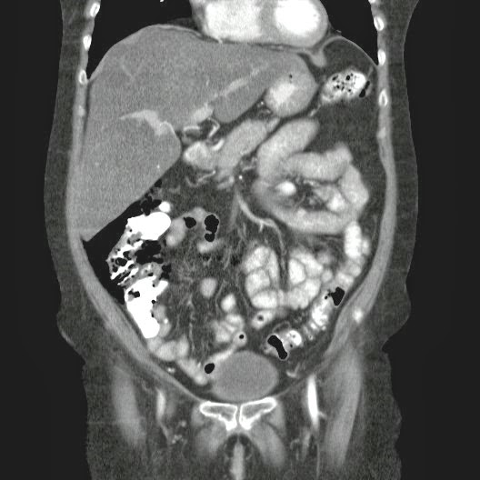
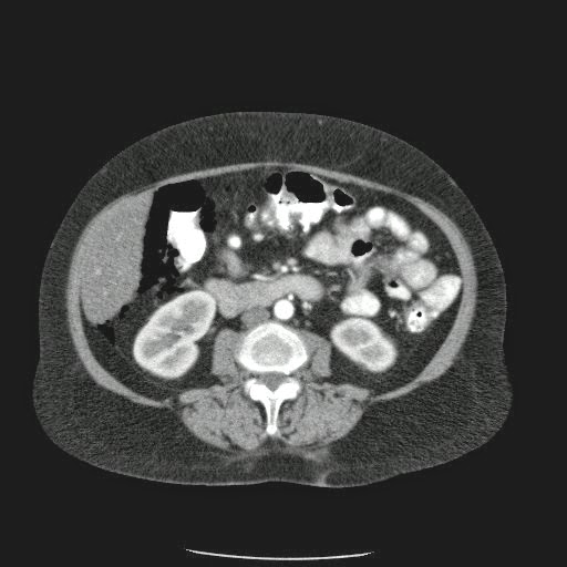
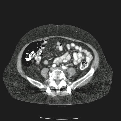
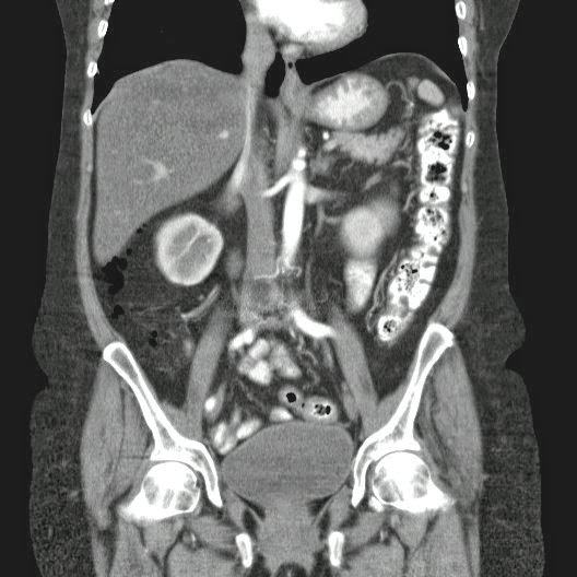
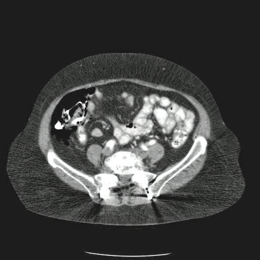
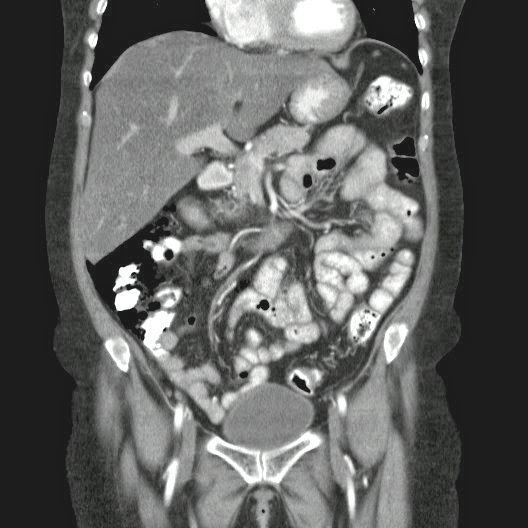
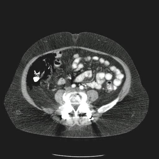
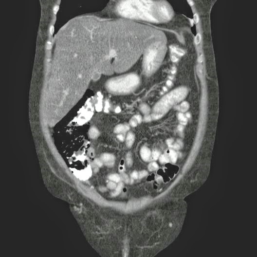
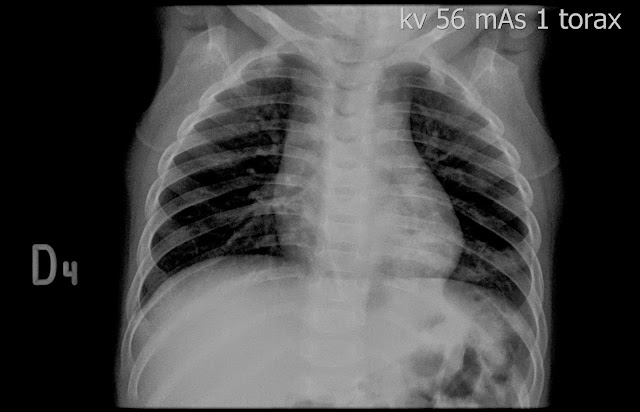
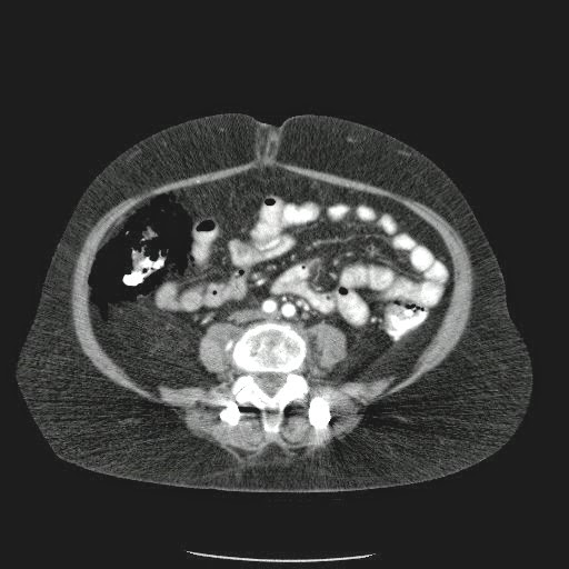
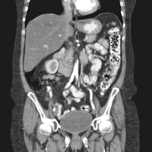
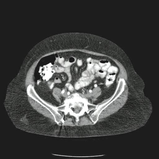
Caso Interesante #4

Adulto masculino, 1 semana de fiebre y malestar general. 
¿Dónde esta ubicado el hallazgo?





martes, 18 de noviembre de 2014

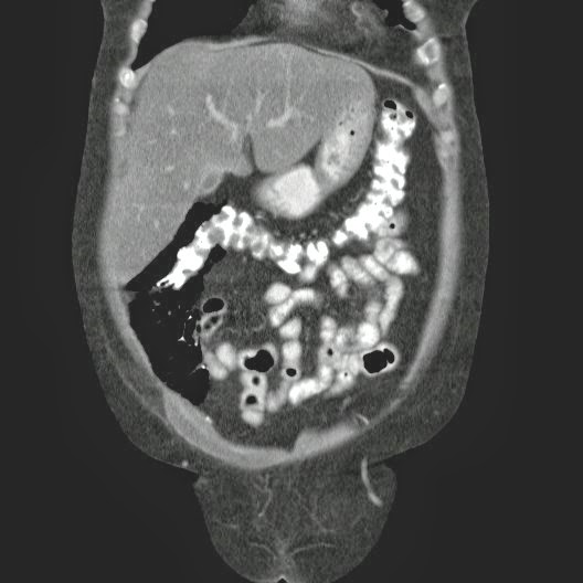
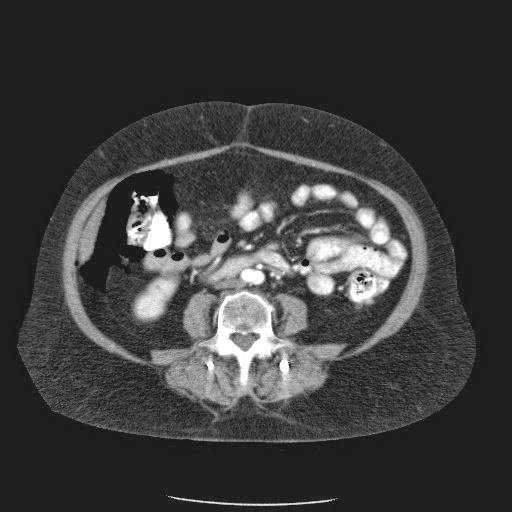
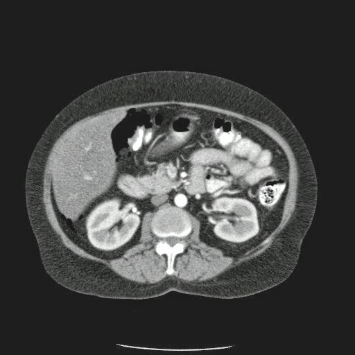
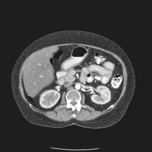
Caso interesante #3

                                                          Paciente 1 (Caso de referencia)
                                                                     Masculino 17 años



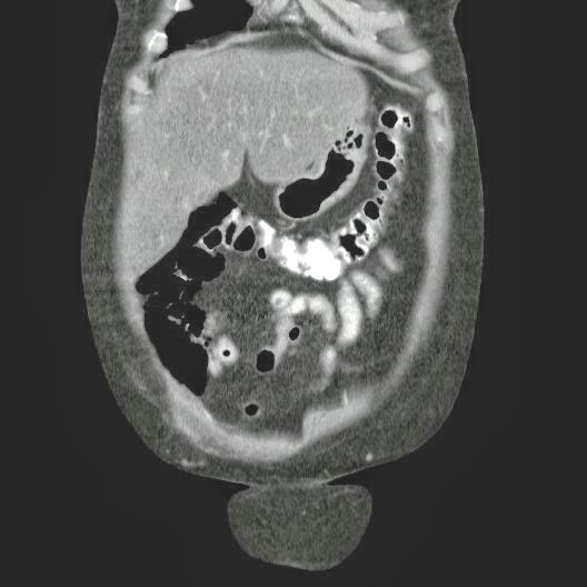
Caso interesante # 3
Masculino 17 años


martes, 11 de noviembre de 2014

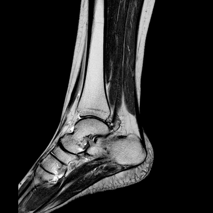
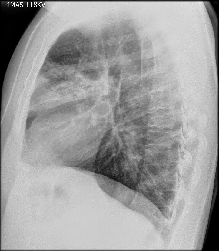
Caso interesante #2


¿A QUE CORRESPONDE Y PORQUE SE PRODUCE ESTA IMAGEN 
IMÁGENES RADIOLÚCIDAS BILATERALES EN FORMA DE LUNA MENGUANTE ADYACENTE A LAS CABEZAS HUMERALES??????

jueves, 6 de noviembre de 2014

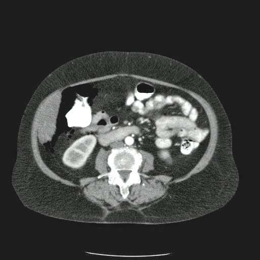
Caso Interesante #1


INGRESO

Paciente con antecedente de ALIF (Fusión lumbar intersomática anterior) 360 grados L5-S1 hace siete meses, quién presenta herida de abordaje anterior con dehiscencia de sutura, con cierre por segunda intención, quien consulta por cuadro clínico de dos días de secreción purulenta en herida quirúrgica, niega fiebre, niega otras sintomatología, refiere episodios previos similares.







EVOLUCIÓN

Paciente en POP de ALIF L5-S1 quien presento dehiscencia de la herida abdominal con ISO superficial ya tratada, sin embargo persiste con dehiscencia y desde ayer con supuración asociado a fiebre subjetiva. Se realiza eco abdominal con colección en pared sugestiva de absceso, elevación de RFA por lo cual se considera se debe hospitalizar para manejo antibiótico, drenaje de la colección, manejo médico y vigilancia neurológica.

























- ¿Hallazgos Escanografia?