CASOS INTERESANTES

lunes, 22 de diciembre de 2014

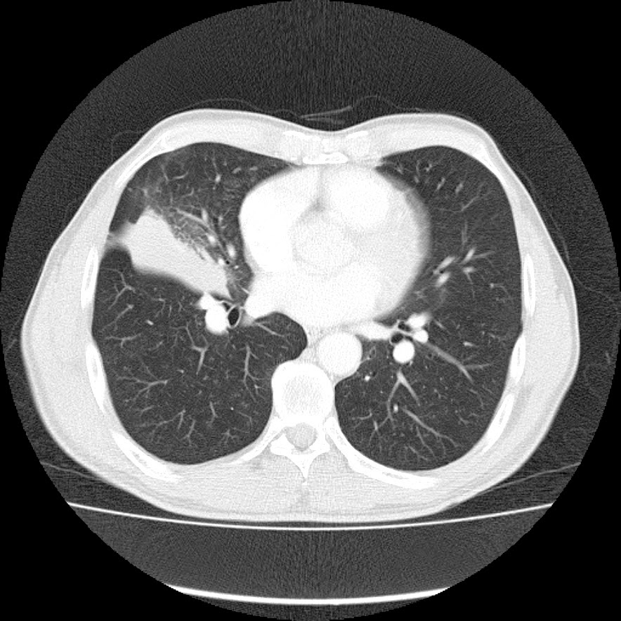
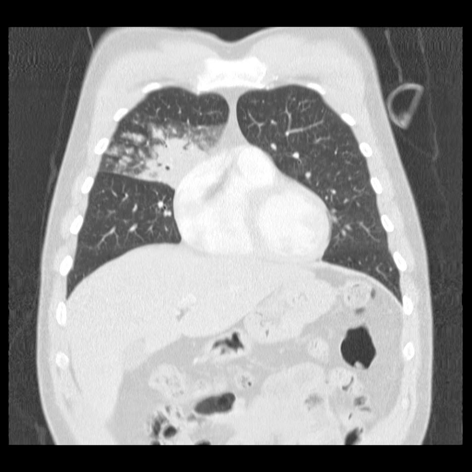
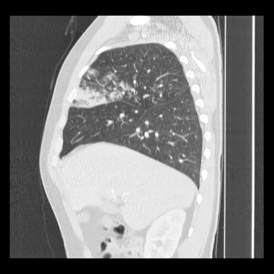
Respuesta al Caso #6 
Segmento lateral del lóbulo medio




Publicadas por Unknown a la/s 8:17 p.m. No hay comentarios.:
Enviar esto por correo electrónicoBlogThis!Compartir en XCompartir en FacebookCompartir en Pinterest

miércoles, 17 de diciembre de 2014

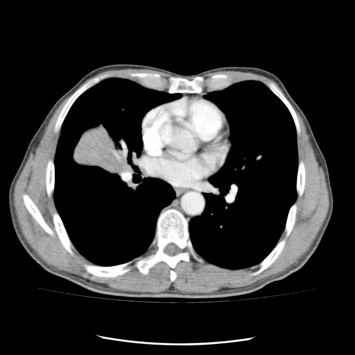
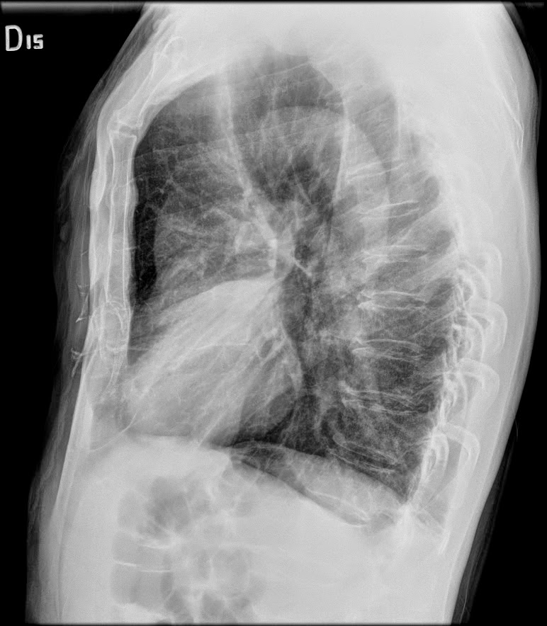
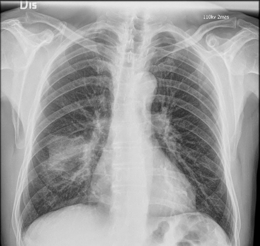
Caso interesante #6

Otro casito de un tórax para localizar la consolidación

Publicadas por Unknown a la/s 7:01 p.m. 2 comentarios:
Enviar esto por correo electrónicoBlogThis!Compartir en XCompartir en FacebookCompartir en Pinterest

miércoles, 10 de diciembre de 2014

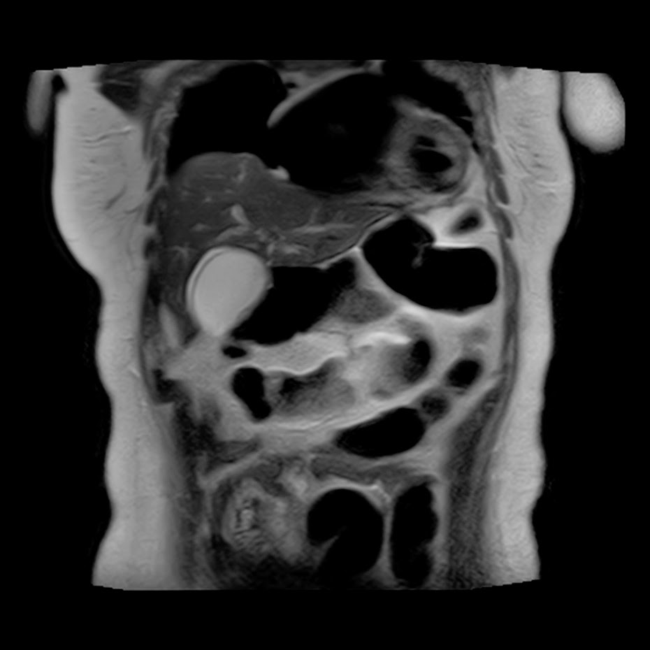
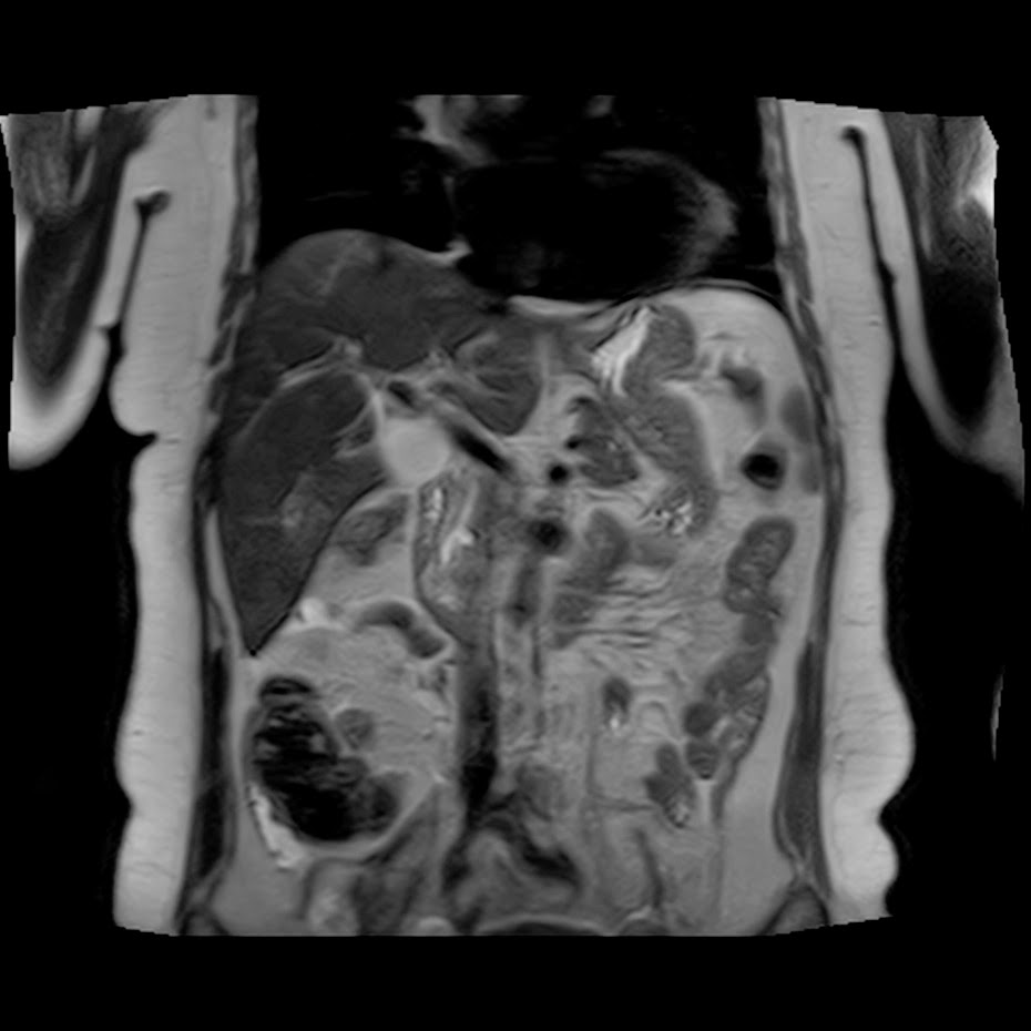
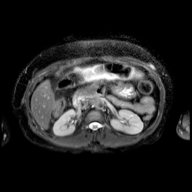
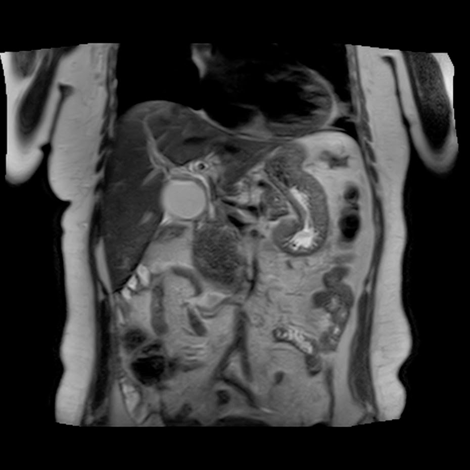
Caso interesante #5


Paciente con dolor en hipocondrio derecho.















Publicadas por Unknown a la/s 5:11 p.m. 4 comentarios:
Enviar esto por correo electrónicoBlogThis!Compartir en XCompartir en FacebookCompartir en Pinterest
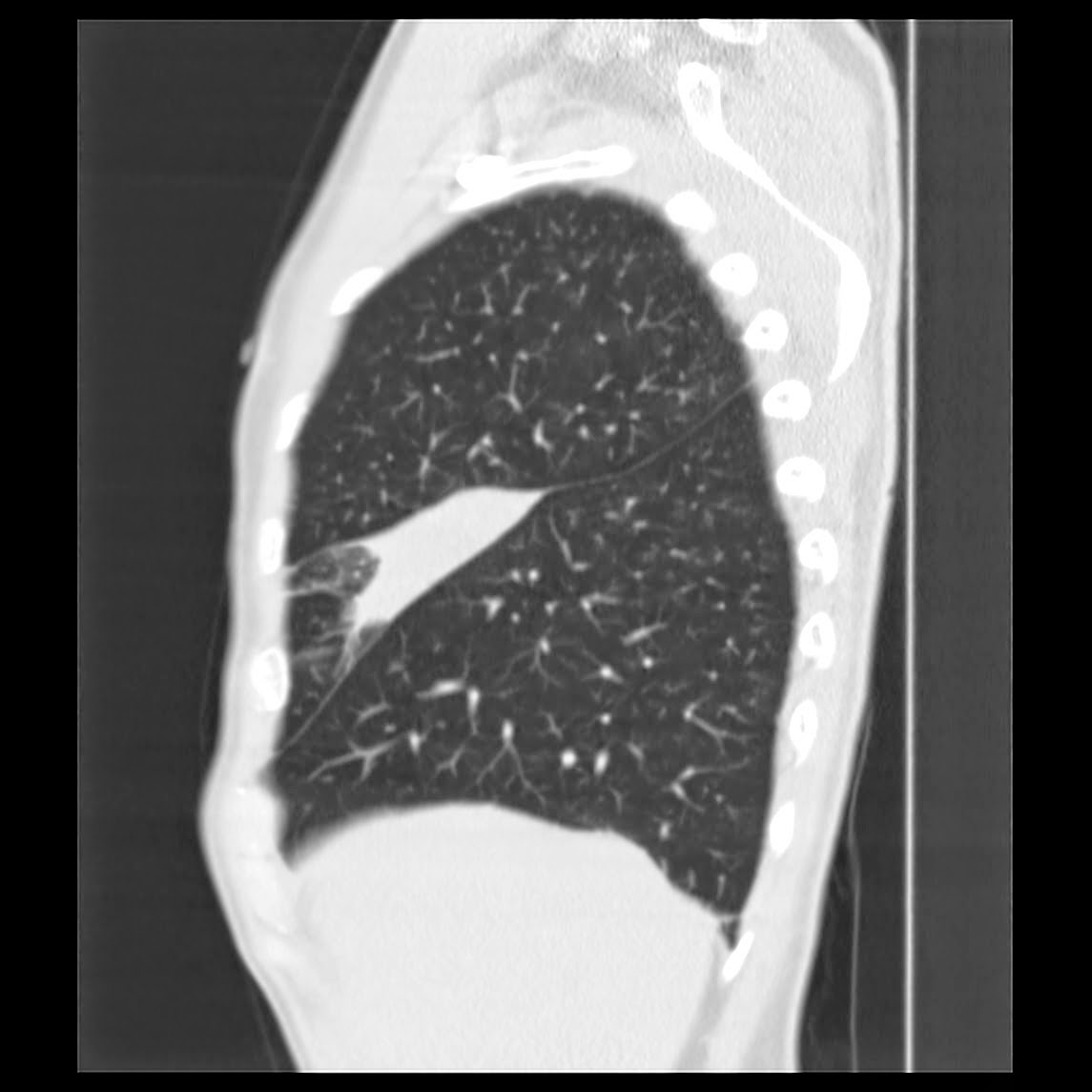
Respuesta al caso #4 
El lóbulo medio está respetado






Publicadas por Unknown a la/s 4:45 p.m. No hay comentarios.:
Enviar esto por correo electrónicoBlogThis!Compartir en XCompartir en FacebookCompartir en Pinterest
Entradas más recientes Entradas antiguas Página Principal
Suscribirse a: Comentarios (Atom)

RESIDENTES RADIOLOGIA PUJ

  • Unknown
  • Unknown
  • Unknown

Archivo del Blog

  • ►  2018 (6)
    • ►  octubre (2)
    • ►  septiembre (3)
    • ►  agosto (1)
  • ►  2017 (6)
    • ►  agosto (3)
    • ►  julio (3)
  • ▼  2014 (8)
    • ▼  diciembre (4)
      • Respuesta al Caso #6  Segmento lateral del lóbul...
      • Caso interesante #6
      • Caso interesante #5
      • Respuesta al caso #4  El lóbulo medio está respe...
    • ►  noviembre (4)
Tema Awesome Inc.. Con tecnología de Blogger.